Announcing our new Non-Testifying Consulting Service
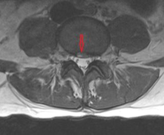
HIZ Lesion axial

HIZ Lesion axial

HIZ lesion, Axia